Có thể xác định loại u xơ tử cung qua các dấu hiệu điển hình?
Thứ Năm, 02/11/2023U xơ tử cung là những khối u lành tính phát triển tại vị trí tử cung. Khối u có thể lớn bằng một quả tennis hoặc nhỏ hơn hạt đậu. Thực tế, một số u xơ tử cung quá nhỏ đến mức không thể...
SAU MỔ POLYP TỬ CUNG BAO LÂU MỚI CÓ THAI ĐƯỢC?
Thứ Sáu, 27/10/2023Mổ polyp tử cung là một trong những thủ thuật thường gặp trong sản khoa. Trong đó, đối với các chị em đang trong độ tuổi sinh sản thì một trong những câu hỏi liên quan tới thủ thuật này có lẽ là mổ polyp tử cung bao lâu mới có thai lại được. Để tìm được câu trả lời, mời độc giả tham khảo bài viết dưới đây.
ĐỪNG CHỦ QUAN VỚI CĂN BỆNH POLYP LÒNG TỬ CUNG
Thứ Năm, 26/10/2023Mặc dù đa số các trường hợp polyp lòng tử cung là căn bệnh lành tính, tuy nhiên vẫn có nhiều bệnh nhân khả năng mang thai sẽ bị ảnh hưởng, thậm chí tiến triển thành ung thư. Chính vì vậy, bất cứ chị em nào khi có dấu hiệu hay đang mắc bệnh này tuyệt đối không được chủ quan.
POLYP TỬ CUNG CÓ NGUY HIỂM KHÔNG VÀ GIẢI ĐÁP CỦA CHUYÊN GIA
Thứ Năm, 26/10/2023Polyp tử cung có nguy hiểm không là một trong những câu hỏi được không ít chị em phụ nữ ngày nay quan tâm. Đặc biệt, với những biểu hiện không rõ ràng của tình trạng càng làm chúng ta lo lắng hơn. Để giải quyết mối bận tâm trên, chị em hãy cùng chúng tôi tham khảo bài viết dưới đây.
TƯ VẤN NHỮNG THÔNG TIN CẦN BIẾT VỀ POLYP TỬ CUNG
Thứ Năm, 26/10/2023Polyp tử cung là bệnh phụ khoa lành tính, dễ dàng điều trị, nhưng nếu không sớm phát hiện và lựa chọn kỹ thuật phù hợp, có thể để lại biến chứng, hậu quả nguy hiểm. Bài viết sau đây sẽ giúp bạn tổng hợp những thông tin cần biết về Polyp tại tử cung, từ đó mỗi cá nhân có thể sớm chủ động nhận biết và điều trị bệnh.
Tại sao viêm nhiễm phụ khoa tái phát nhiều lần làm sao trị dứt điểm?
Thứ Sáu, 20/10/2023Viêm nhiễm phụ khoa tái phát nhiều lần gây ảnh hưởng nghiêm trọng đến đời sống tình dục, tâm lý và chất lượng cuộc sống. Để điều trị bệnh dứt điểm, nữ giới cần kết hợp sử dụng thuốc theo hướng dẫn của bác sĩ, vệ sinh vùng kín đúng cách và thay đổi các thói quen xấu.
[GIẢI ĐÁP] Viêm âm đạo có nguy hiểm không? Có tự khỏi được không?
Thứ Năm, 19/10/2023Viêm âm đạo có nguy hiểm không? Có tự khỏi được không? là những vấn đề khiến chị em phân vân, từ đó kéo theo việc điều trị sai cách, khiến bệnh dai dẳng. Để có được câu trả lời chính xác nhất, mời các bạn theo dõi bài viết dưới đây.
Cảnh giác u xơ tử cung gây đau bụng dưới
Thứ Ba, 17/10/2023U xơ tử cung là bệnh lý thường xuất hiện ở phụ nữ trong độ tuổi sinh sản. Hầu hết là qua độ tuổi 30 phụ nữ sẽ có nguy cơ cao mắc u xơ tử cung. Có một số trường hợp u xơ tử cung đau bụng dưới nhưng không phải tất cả, hãy cùng phân tích để hiểu rõ nguyên nhân cũng như phương pháp điều trị hiệu quả.
Dấu hiệu viêm phụ khoa nặng – nhẹ và giải pháp khắc phục
Thứ Sáu, 13/10/2023Viêm phụ khoa dù nặng hay nhẹ đều khiến chị em phụ nữ gặp nhiều khó khăn trong cuộc sống. Bên cạnh đó, nếu giai đoạn viêm nhẹ không khắc phục sớm dẫn đến viêm nặng có thể ảnh hưởng xấu đến sức khỏe sinh sản. Bài viết dưới đây sẽ giúp chị em biết được các dấu hiệu và biện pháp khắc phục viêm phụ khoa, tránh biến chứng nguy hiểm.
3 biến chứng viêm phụ khoa vào mùa hè mà bạn cần biết !
Thứ Năm, 05/10/2023Vào mùa hè nóng nực, nhiều loại vi khuẩn sinh sôi tương đối mạnh mẽ, đó là thời kỳ hoạt động thể chất của cơ thể bạn với bên ngoài rất nhiều. Đối với phụ nữ, một chút chú ý có thể dễ dàng gây ra một số bệnh viêm nhiễm phụ khoa do nấm và vi khuẩn.Các bệnh viêm âm đạo thường gặp, bệnh viêm vùng chậu, v.v. Có thể liên quan đến một số thói...
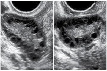
Cập nhật về hình ảnh buồng trứng đa nang trên siêu âm
Thứ Sáu, 15/09/2023Hình ảnh buồng trứng đa nang trên siêu âm (Polycystic Ovary - PCO), nói gắn gọn siêu âm buồng trứng đa nang - được xem là một trong những tiêu chuẩn chẩn đoán hội chứng buồng trứng đa nang.
Sau mổ kẹp vòi trứng có cần kiêng quan hệ không?
Thứ Năm, 14/09/2023HỏiBác sĩ cho em hỏi, sau mổ kẹp vòi trứng có cần kiêng quan hệ không ạ?Câu hỏi khách hàng ẩn danh
Nhiễm trùng bàng quang và thận ở phụ nữ sau sinh con
Thứ Năm, 07/09/2023Nếu bạn gặp khó khăn khi đi tiểu hoặc đau khi đi tiểu trong 24 giờ đầu tiên sau khi sinh con, thì đây có thể là dấu hiệu của triệu chứng sau sinh mà nhiều bà mẹ mới sinh khác cũng mắc phải, đó là nhiễm trùng đường tiểu sau sinh. Vậy nguyên nhân dẫn đến sau sinh bị nhiễm trùng đường tiểu và nguy cơ nhiễm trùng sau sinh như thế nào?
Làm gì sau khi mổ nội soi u nang buồng trứng?
Thứ Sáu, 01/09/2023Phẫu thuật nội soi điều trị u nang buồng trứng là một trong những phương pháp điều trị hiệu quả và triệu để được nhiều bệnh nhân lựa chọn. Tuy nhiên các vấn đề chăm sóc sau mổ cũng cần được lưu ý để người bệnh có thể phục hồi nhanh chóng. Vậy cần làm gì sau khi mổ nội soi u nang buồng trứng?
Các triệu chứng của lạc nội mạc tử cung có lẫn với bệnh nào khác không?
Thứ Sáu, 01/09/2023Theo các thống kê, khoảng 5 – 10% phụ nữ trong độ tuổi sinh đẻ được chẩn đoán lạc nội mạc tử cung. Đây là bệnh lý phụ khoa phức tạp, mạn tính và dễ tái phát. Không chỉ gây ra các cơn đau bụng kéo dài, ảnh hưởng đến chất lượng cuộc sống người bệnh mà còn khiến phụ nữ phải đối mặt với nguy cơ vô sinh, hiếm muộn. Tuy nhiên, các triệu chứng của lạc nội mạc tử...
Những biến chứng sau khi cắt tử cung
Thứ Ba, 29/08/2023Người bị chảy máu tử cung bất thường do sa tử cung nghiêm trọng, u xơ tử cung, ung thư tử cung,...cần thực hiện cắt bỏ tử cung. Tuy nhiên, việc phẫu thuật cắt bỏ tử cung có nguy cơ gặp phải một số biến chứng hậu phẫu. Việc tìm hiểu về các biến chứng sau khi cắt tử cung sau đây có thể giúp bạn trang bị được những thông tin hữu ích và có thể đưa ra quyết định phù hợp nhất trước khi phẫu thuật.
Giải đáp đầy đủ về phẫu thuật cắt tử cung
Thứ Ba, 29/08/2023Cắt tử cung hoàn toàn ở phụ nữ sắp đến tuổi mãn kinh có nghĩa là cắt bỏ cả tử cung và 2 buồng trứng. Phụ nữ bị cắt tử cung thường dẫn đến tình trạng mãn kinh do phẫu thuật và thường phải dùng liệu pháp hormon thay thế.
Siêu âm phần phụ phải nhiều nang noãn có sao không?
Thứ Hai, 28/08/2023Chào bác sĩ,Em siêu âm có ghi là tất cả đều bình thường nhưng phần phụ phải nhiều nang noãn kích thước từ 3-5mm. Phần phụ trái khó khảo sát. Vậy bác sĩ cho em hỏi siêu âm phần phụ phải nhiều nang noãn có sao không? Em đang bị gì thưa bác sĩ? Em cảm ơn bác sĩ.Khách hàng ẩn danh
Biến chứng của u xơ tử cung: Những điều bạn cần biết
Thứ Sáu, 25/08/2023U xơ tử cung là một bệnh phổ biến ở phụ nữ, một số biến chứng của u xơ tử cung có thể ảnh hưởng sâu sắc đến chất lượng cuộc sống của phụ nữ. Vậy biểu hiện và cách phòng tránh đối với biến chứng của u xơ tử cung như thế nào? Hãy tìm hiểu qua bài viết dưới đây.
Sa âm đạo phía sau
Thứ Sáu, 25/08/2023Sa âm đạo phía sau là một bệnh lý thường gặp ở phụ nữ sinh thường, đặc biệt là sinh nhiều con. Tình trạng này có thể không gây triệu chứng đáng kể hoặc lại có thể ảnh hương vô cùng nghiêm trọng đến chất lượng cuộc sống của bệnh nhân.






