"Núi đôi" thường xuyên có hiện tượng ngứa dữ dội thì phải đi khám ngay kẻo mắc vấn đề sau
Thứ Tư, 14/03/2018Nếu thấy có hiện tượng ngứa rát xung quanh khu vực "núi đôi" thì đừng chủ quan xem thường, bởi đây không đơn thuần chỉ là dấu hiệu của bệnh viêm da mà còn cảnh báo một số bệnh...
Vì sao bạn nên ngừng dùng Facebook ngay lúc này?
Thứ Ba, 13/03/2018Facebook đang bị người dùng tại chính quê hương “ruồng bỏ” với tốc độ nhanh kỷ lục. Vì đâu nên nỗi?
Chủ quan khi tắm vào những thời điểm này chỉ khiến nguy cơ đột quỵ tăng cao
Thứ Ba, 06/03/2018Vệ sinh cá nhân là chuyện ai cũng phải làm mỗi ngày. Tuy nhiên, nếu chủ quan đi tắm vào những thời điểm này thì bạn sẽ phải đối mặt với nguy cơ đột quỵ có thể xảy ra bất cứ lúc nào.
Không ai có thể chối cãi về sự khác biệt "mười mươi" này của nam giới và nữ giới, đặc biệt là cái số 3
Thứ Tư, 28/02/2018Bạn hẳn sẽ gật gù tâm đắc lắm với danh sách chỉ ra điểm khác biệt này của nam và nữ.
Cứ mắc phải những thói quen này thì bảo sao mà thận của bạn không ngày càng suy yếu
Thứ Tư, 28/02/2018Cùng tìm hiểu về những thói quen mà chúng ta thường xuyên gặp phải dẫn đến việc suy giảm chức năng của thận bạn nhé.
"Bệnh nụ hôn" và nguy cơ ung thư vòm họng
Thứ Ba, 06/02/2018Virus EBV có trong nước bọt là loại virus gây bệnh tăng bạch cầu, còn gọi là "bệnh nụ hôn" vì lây nhiễm qua đường nụ hôn, dùng chung muỗng...Ung thư vòm họng là bệnh phổ biến xếp trong 10 loại ung thư thường gặp nhất. Tỷ lệ ung thư vòm họng trong vùng dịch tễ khoảng 20-50/100.000 dân. Việt Nam là một trong những nước nằm trong vùng dịch tễ này.
Phát hiện mới mở ra cơ hội chữa trị chứng rối loạn tâm thần
Thứ Ba, 06/02/2018Các nhà khoa học Mỹ mới đây đã phát hiện các tế bào lo âu trong não bộ của chuột, mở ra cơ hội chữa trị chứng rối loạn tâm thần ở người này trong tương lai.
Đứa trẻ sinh ra bởi 3 cha mẹ sắp chào đời tại Anh
Thứ Ba, 06/02/2018Trung tâm Hỗ trợ sinh sản Newcastle (Anh) đã được phê duyệt để tạo ra những đứa trẻ mang DNA của 3 cha mẹ.
Để biết tuổi sinh học của bạn, hãy kiểm tra mẫu nước tiểu
Thứ Hai, 05/02/2018Việc biết được tuổi sinh học của bạn cũng khá quan trọng, vì nó có thể được sử dụng để xác định nguy cơ mắc các bệnh liên quan đến tuổi tác hoặc thậm chí nguy cơ tử vong. Ngoài ra, điều quan trọng là phải biết tuổi sinh học của đối tượng thử nghiệm khi mới phát triển thuốc chống lão hóa.
Những lầm tưởng về sữa cha mẹ nên hiểu rõ
Thứ Hai, 05/02/2018Thời gian qua, thông tin trẻ em uống nhiều sữa tươi gây béo phì, tim mạch, chứa hormone tăng trưởng khiến nhiều bà mẹ hoang mang.
Người mắc chứng sợ xã hội lại có IQ và khả năng thấu cảm cao hơn người thường
Thứ Sáu, 02/02/2018Nhiều người lo sợ tiếp xúc với xã hội đến mức nó trở thành vấn đề gây trở ngại tâm lý nhưng ít ai ngờ những người này lại sở hữu khả năng vượt trội về IQ.
Phát hiện mới: "Cấy tóc" vào vết thương để xóa sẹo vĩnh viễn
Thứ Năm, 01/02/2018Nếu có một vết sẹo do phẫu thuật, do bất cẩn hoặc thậm chí là bị ngã xe đạp từ hồi nhỏ, bất cứ ai cũng muốn nó biến mất. Và đáng buồn là các nhà khoa học lại cho rằng sẹo không thể chữa khỏi ở động vật có vú, bao gồm cả con người.Tuy nhiên, nghiên cứu mới đây trên tạp chí Science đã mở ra một hi vọng mới. Các nhà nghiên cứu đã tìm ra cách...
Vì sao phụ nữ cũng thích phim đen
Thứ Tư, 31/01/2018Theo kết quả khảo sát của Viện Nghiên cứu IFOP (Pháp) vào tháng 9/2012, 82% phụ nữ Pháp được hỏi, cho biết đã xem phim khiêu dâm ít nhất một lần so với 99% ở nam giới. Còn theo khảo sát của nhật báo The Sun (Anh), có khoảng 66% phụ nữ Anh thích xem loại phim này.
Lợi ích của thực đơn kiểu Địa Trung Hải với thụ tinh trong ống nghiệm
Thứ Ba, 30/01/2018Những phụ nữ thực hiện chế độ ăn Địa Trung Hải gồm nhiều hoa quả, rau tươi, cá và dầu ôliu trong thời gian dài có cơ hội thụ thai thành công theo phương pháp thụ tinh trong ống nghiệm (IVF) cao.Thông tin này là kết luận được các nhà khoa học Hy Lạp đưa ra trong nghiên cứu mới nhất và công bố trên tạp chí "Sự sinh sản ở con người" ngày 30/1.
FDA thông qua liệu pháp đột phá giúp cải thiện các triệu chứng tự kỷ
Thứ Sáu, 26/01/2018Cơ quan Quản lý dược phẩm và thực phẩm Mỹ (FDA) mới đây đã công nhận loại thuốc Balovaptan của Hãng dược Roche là liệu pháp đột phá đối với việc hỗ trợ cải thiện các triệu chứng rối loạn phổ tự kỷ (ASD).
Cô gái trẻ với căn bệnh lạ "cứ chạm vào người là đau"
Thứ Năm, 25/01/2018Vào một buổi sáng tháng 1/2016, Abi Harmer đến từ Kent, Anh thức dậy với một cơn đau xuyên thấu và tay trái không thể cử động. Từ đó đến một giọt nước hay cơn gió chạm qua người cũng có thể khiến cô đau đớn toàn thân.
Dấu hiệu nhận biết sớm ung thư phổi
Thứ Ba, 23/01/2018Tại Việt Nam ung thư phổi đứng hàng thứ nhất trong 10 loại ung thư thường gặp trên cả hai giới và là nguyên nhân gây tử vong hàng đầu. Nhưng nếu phát hiện sớm thì bạn có thể có phương pháp điều trị hiệu quả hơn rất nhiều.Ung thư phổi là loại ung thư thường gặp và ngày càng có xu hướng gia tăng. Gần đây, bệnh xuất hiện ở những người trẻ tuổi nhiều hơn, chiếm tỷ lệ khoảng...
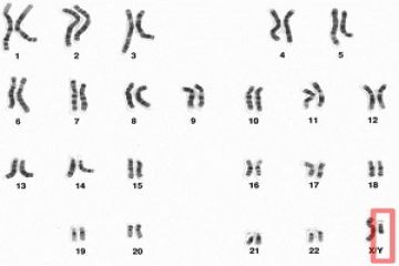
Thế giới sẽ không còn đàn ông?
Thứ Ba, 23/01/2018Nhiễm sắc thể Y đang dần thoái hóa, 4,6 năm triệu năm nữa có thể hoàn toàn biến mất. Vậy số phận của cánh đàn ông sẽ ra sao?Các thông tin trên được nêu trong một bài báo khoa học của 2 nhà di truyền học đến từ Đại học Kent (Anh) – giáo sư di truyền học Darren Griffin và giảng viên sinh học phân tử và sinh sản Peter Ellis, đăng trên tạp chí The Conversation.
Nâng ngực bằng… lòng trắng trứng
Thứ Năm, 18/01/2018Các nhà khoa học Nhật Bản vừa phát minh ra một loại gel siêu bền có thể được ứng dụng làm vật liệu dẻo an toàn trong y khoa, ví dụ như lĩnh vực tạo hình - thẩm mỹ. Công thức khá đơn giản: chủ yếu là lòng trắng trứng được… khuấy trên bếp.
Chỉ cần tuân thủ các nguyên tắc này thì hội con trai có thể "dập tắt" những nốt mụn trên mặt
Thứ Năm, 18/01/2018Cùng tìm hiểu các phương pháp trị mụn đơn giản, dễ thực hiện nhưng lại vô cùng hiệu quả dành cho các bạn nam ở tuổi dậy thì nhé.






